

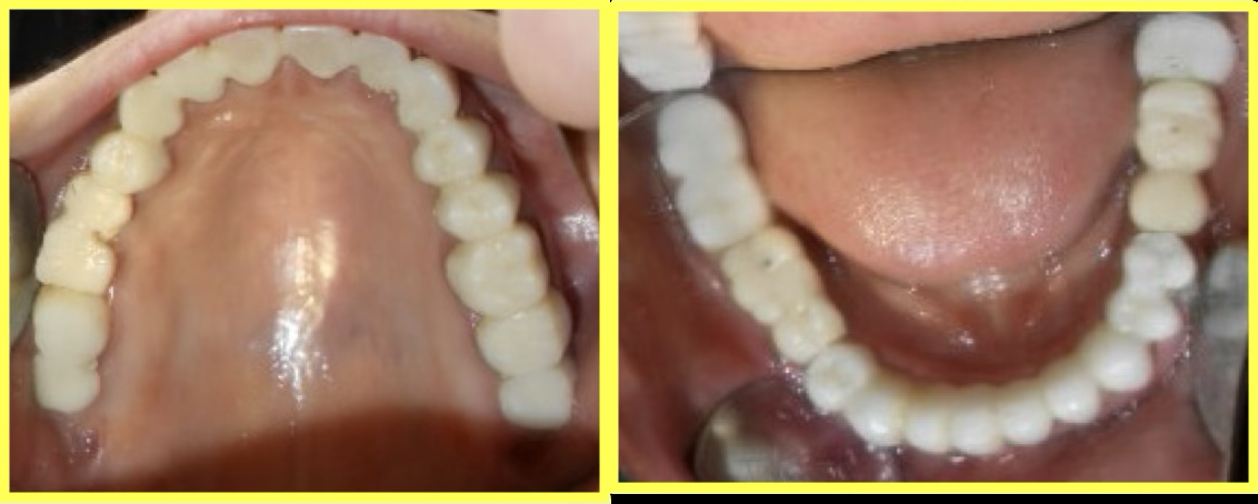
Initial condition

Final result
57 years
Female
Multiple attritted and missing teeth, inability to chew and low morale
A 57-year-old female patient visited our dental center complaining of multiple missing and attrited teeth. On examination, patient had missing teeth 25, 26, 35, 36, 45 & 46 with grade 3 attrition. Treatment included impression-based muscle deprogrammer, Dio implants placement, PFM crowns for remaining attrited teeth, and delayed implant loading after 3 months.
Comprehensive oral examination with OPG X-ray. Patient presented with multiple missing teeth (25, 26, 35, 36, 45, 46) and severe attrition on remaining teeth. Muscle deprogrammer was fabricated and delivered.

Strategic placement of 6 Dio dental implants in the regions of missing teeth using precise surgical protocols.

Root canal treatment performed on all remaining attrited teeth to ensure long-term viability before crown placement.

Temporary crowns were cemented to protect prepared teeth and maintain function during healing period.

Permanent Porcelain Fused to Metal (PFM) crowns were custom-fabricated and cemented. Implants were delayed loaded after 3 months of healing.



"After years of struggling with worn and missing teeth, I finally have a beautiful, functional smile. The entire team made the process smooth and comfortable. I can eat, smile, and laugh confidently again!"
— Patient (57 years, Female) - Identity Protected